Theo Canhgiacduoc
BỆNH PHỔI KẼ DO STATIN
Dương Quý Sỹ (Trường Cao Đẳng Y tế Lâm Đồng)
Tóm tắt
Nhiều thuốc có thể gây phản ứng có hại trên đường hô hấp và tác động đến đường dẫn khí, nhu mô phổi, tuần hoàn phổi và màng phổi. Bệnh phổi kẽ (interstitial lung disease) do thuốc là một dạng của bệnh phổi do thuốc. Statin, thuốc ức chế cạnh tranh enzym 3-hydroxy-3-methylglutaryl coenzyme A (HMG-CoA) reductase, được sử dụng để giảm LDL-cholesterol, giảm nguy cơ xuất hiện biến cố tim mạch và tỷ lệ tử vong. Mặc dù các thuốc statin được kê đơn rộng rãi nhưng bệnh phổi kẽ do statin rất hiếm gặp. Đây là báo cáo ca bệnh phổi kẽ do statin đầu tiên ở Đà Lạt.
Nội dung bài
Ca lâm sàng
Bệnh nhân nữ, 54 tuổi, ở Đà Lạt, được khám và điều trị ho dai dẳng đã kéo dài 3 tháng. Bệnh nhân kể bị ho khan; ho xuất hiện ở bất kỳ thời điểm nào trong ngày; không ho ra máu hoặc có triệu chứng liên quan. Bệnh nhân không bị thở khò khè hay hội chứng trào ngược dạ dày – thực quản hoặc hội chứng chảy mũi sau. Bệnh nhân có tiền sử tăng cholesterol máu và được điều trị bằng atorvastatin từ 6 tháng trước. Bệnh nhân không hút thuốc lá hoặc không là đối tượng bị phơi nhiễm với khói thuốc lá do nghề nghiệp. Bệnh nhân đã được điều trị vài đợt bằng kháng sinh và glucocorticoid nhưng những biện pháp trên chỉ giúp cải thiện triệu chứng trong thời gian ngắn.
Khám: bệnh nhân có thể trạng tốt. Dấu hiệu sinh tồn: huyết áp 120/60 mmHg; nhịp tim 86 lần/phút; nhịp thở 18 lần/phút; thân nhiệt 37oC; và SpO2 94% trong điều kiện phòng. Bệnh nhân có ho khan, không đờm. Bệnh nhân không bị hạn chế về vận động nhưng có khó thở nhẹ khi gắng sức, ví dụ: sau khi leo cầu thang. Bệnh nhân không có dấu hiệu ngón tay dùi trống và xanh tím. Khí quản nằm chính giữa với đường thông khí trên bình thường và không có dấu hiệu bệnh hạch bạch huyết liên quan. Kiểm tra phổi thấy giảm âm phổi ở đáy phổi, có tiếng ran nổ ở thì thở vào, âm gõ phổi bình thường. Kiểm tra tim thấy tiếng tim bình thường. Các kết quả kiểm tra còn lại bình thường.
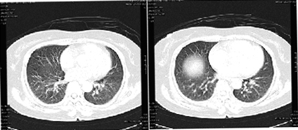
Xét nghiệm sinh hóa máu cho thấy CRP bình thường; tăng bạch cầu ưa eosin trong máu ngoại biên. Kiểm tra chức năng phổi thấy giảm nhẹ FEV1, FVC và SVC. Chụp X-quang ngực thấy thâm nhiễm nhẹ ở mô kẽ hai bên phổi. Chụp CT thấy khu vực kính mờ ở đáy phổi giảm và sáng nhẹ ở ngoại biên phổi (xem hình). Bệnh nhân được chẩn đoán bệnh phổi kẽ do statin.
Xử trí
Ngừng sử dụng atorvastatin sau khi có kết quả chẩn đoán bệnh phổi kẽ do statin. Sử dụng glucocorticoid kết hợp acetylcystein liều cao. Ho dai dẳng tạm ngừng sau 48 giờ kể từ khi bắt đầu điều trị và ngừng statin. Tiếp tục điều trị đến khi thu được kết quả chụp CT và biểu hiện lâm sàng bình thường (8 tuần). Bệnh nhân hồi phục hoàn toàn sau 3 tháng.
Kết luận
Statin hiếm khi gây ra bệnh phổi kẽ do thuốc. Tuy nhiên, số lượng bệnh nhân bị bệnh phổi kẽ do statin có thể gia tăng trong bối cảnh statin được kê đơn rộng rãi. Vì vậy, bệnh phổi kẽ – phản ứng có hại hiếm gặp liên quan đến statin, đang dần trở thành một phản ứng có hại mới cần được cân nhắc trong quá trình sử dụng statin.

Các khu vực kính mờ đáy phổi giảm và hơi sáng ở ngoại biên phổi.